胎儿性别在精子和卵子结合的那一刻就已经决定了,如果是X精子和卵子结合那么出生的是女宝,但如果是Y精子和卵子结合那么出生的是男宝,后天通过任何手段都是没有办法的,加上我国法律的相关规定任何医院是无法做性别鉴定的,所有目前无法办法判断肚子里面怀的是不是龙凤胎,但如果早孕反应明显、有不同方向的胎动、腹部隆出速度快、HGG值较高、出现两个胎心那么说明怀的是双胞胎。

生龙凤胎的五大征兆
怀龙凤胎是很多女性期盼已久的,但龙凤胎的发生几率很小,一般在千分之一到千分之五左右,如果家族有遗传史那么可能要高一些。而且即使怀上了,也不是每个人都是龙凤胎,不管怀孕的是男孩还是女孩,孕妇本身一般是没有特殊感觉的,但怀双胞胎的话会有这些征兆:

1、早孕反应明显:双胎妊娠时,因孕妇体内会分泌更多的绒毛膜促性腺激素,所以早孕反应可能较为严重,如恶心、偏食、经常性呕吐,且孕后期更容易心慌、呼吸不畅、下肢浮肿等;
2、不同方向的胎动:孕期5~6个月时,孕妈可以明显的感受到胎动。如果感受到肚子里的宝宝有两个不同方向的胎动;
3、腹部隆出速度快:对于怀上双胞胎的孕妈妈来说,子宫通常会比单胞胎孕妈妈增长得快很多,腹部彭隆会明显增快;
4、HGG值较高:HGG是胎儿发育时孕妈妈体内分泌的一种激素,怀上双胞胎的孕妈妈因为肚子多了一个宝宝,所以HGG值就会比单胞胎妈妈高出一些;
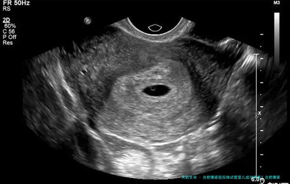
5、出现两个胎心:在怀孕两三个月左右去医院拍B超的时候如果出现了两个胎心,那么恭喜你了,怀上了双胞胎。
在怀孕期间如果出现上面这些症状那么代表怀了双胞胎,但每个人的身体情况不同,所表现得症状不同,大家可以在做孕检的时候看是否能够看到两个孕囊,而且如果是双胞胎医生一般会告诉的,因为怀双胞胎的风险比单胎大,所以注意的事项也比较多,提前告知加以预防,但并不会告知是不是怀的龙凤胎,毕竟属于违法行为。
已生龙凤胎宝妈症状分享
由于我国的法律明确规定除特殊需求外任何医院和机构都不能进行胎儿性别的鉴定,所以在孕期是无法得知宝宝是女孩还是女孩,而民间有很多关于龙凤胎症状的说法,但每个人的身体情况不同,怀双胞胎的症状表现是不一样的,接下来我就给大家分享下生过龙凤胎宝妈的经验所得,希望对大家有所帮助。

1、网友一:都说怀龙凤胎会有很强的早孕反应,但我怀孕前期都没有撒子反应,相反胃口特别的好,一次都没有吐过,朋友也说我是不是假怀孕,只是说在怀孕晚期的时候食欲会有所下降,早上期间有一点干呕,但很少,最终还不是生了一个龙凤胎。
2、网友二:我在去医院做B超检查的时候医生就告知怀的是双胞胎,并没有告知胎儿性别,但我孕期皮肤状态特别差,毛孔也比较粗,也像网上说的在怀孕5个月左右宝宝会在不同的方向胎动,肚子也比较大,当时我就和老公说是龙凤胎,但他不相信,但最终真的生了一对龙凤胎,所以我觉得网上所说的症状比较准。
从宝妈的分享来看,生龙凤胎的征兆表现准确率有百分之五十,因此,怀双胞胎的孕妇可以通过身体出现的一些征兆来判断胎儿的性别,但只能是当无聊时打发一下时间,不可过于相信,以免最终结果和想象的不一样,影响身心健康。

